Our office is strategically positioned in San Jose, CA, along North Bascom Avenue, offering easy connectivity to major transportation routes and centrally accessible from neighboring communities. The suite is housed within a professional complex with convenient parking options and straightforward building navigation for visitors.
Dental Smile Gallery San Jose
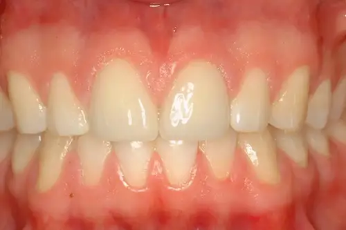
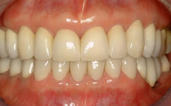
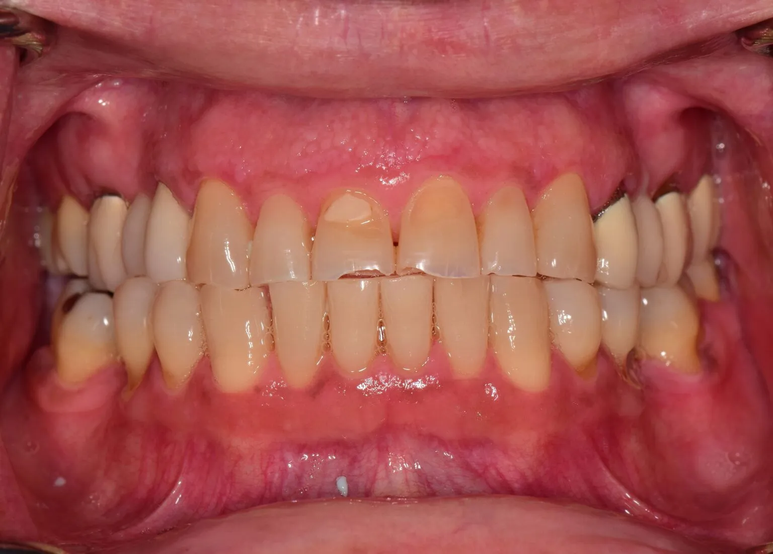
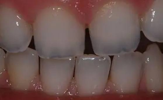
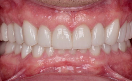
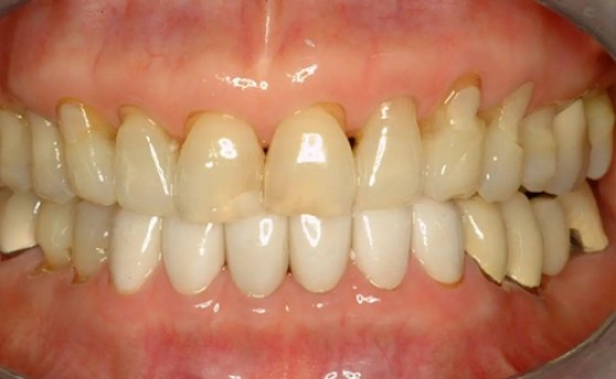
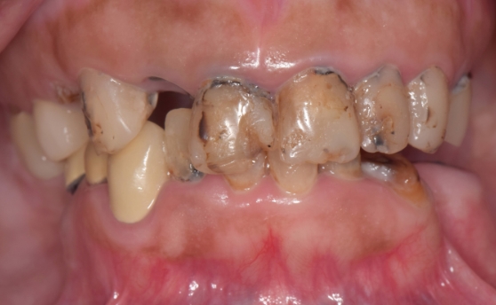
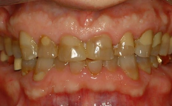
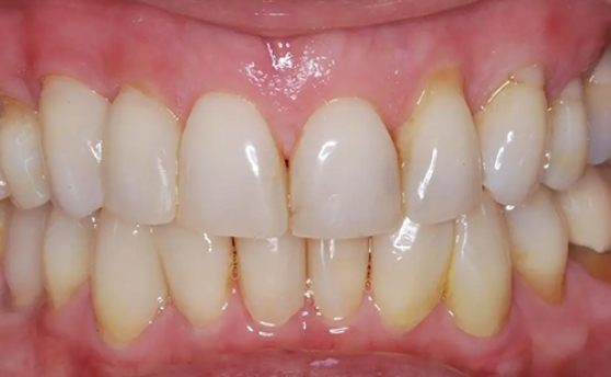
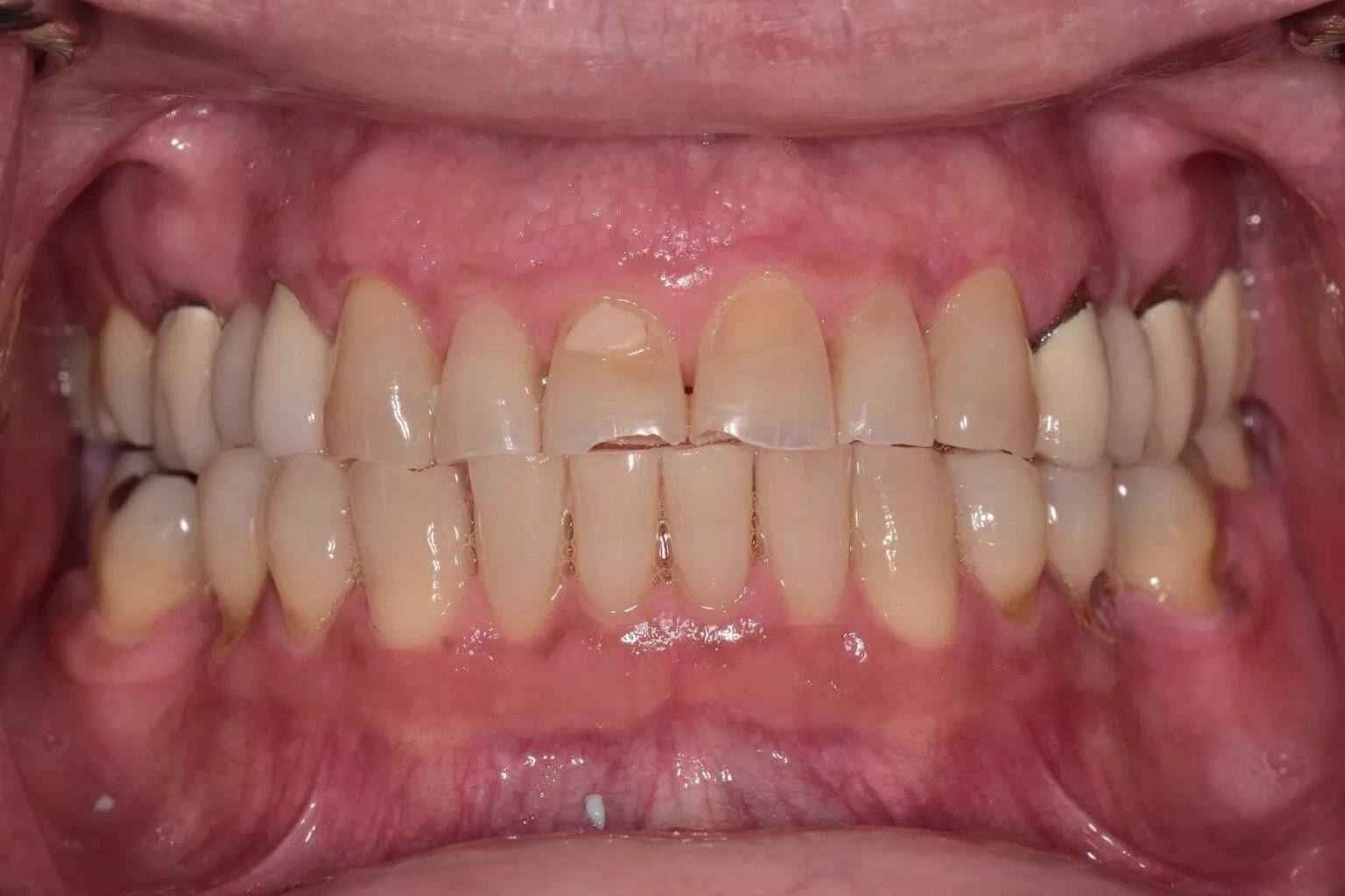
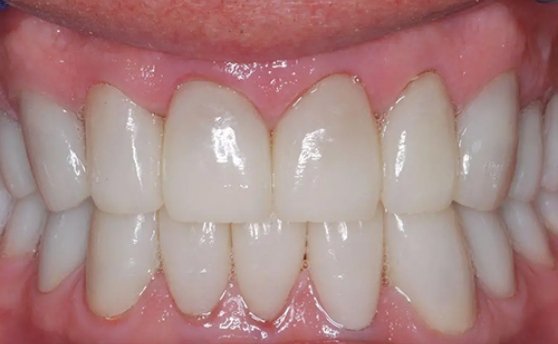
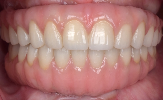
Smile Transformations That Change Lives

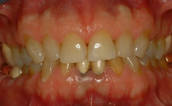
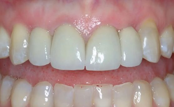
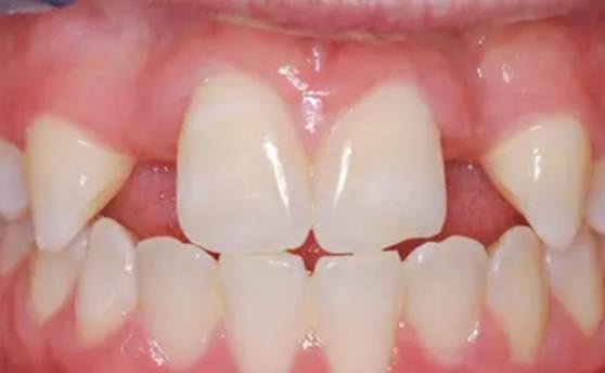
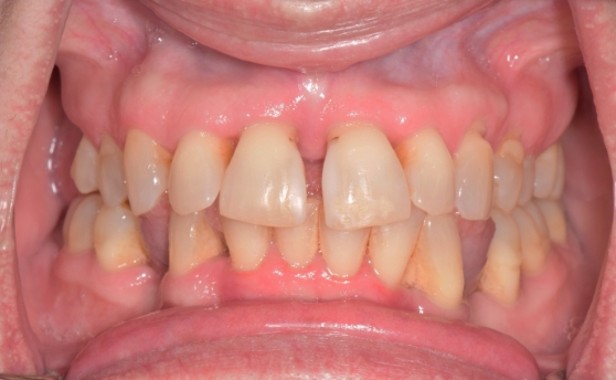
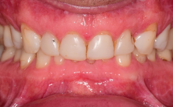
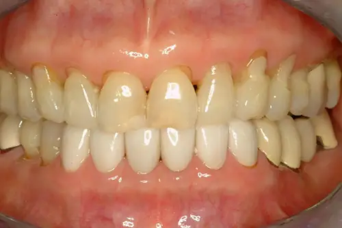
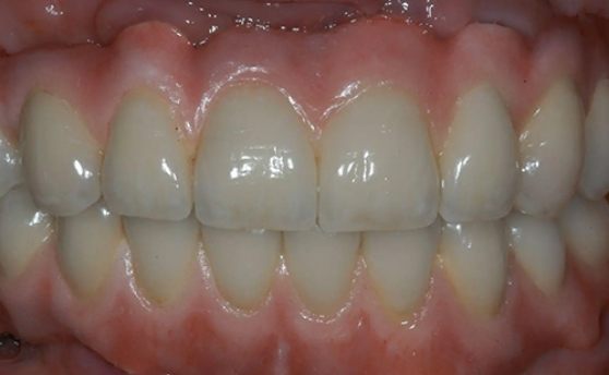
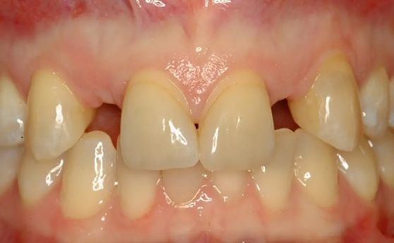
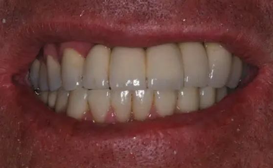
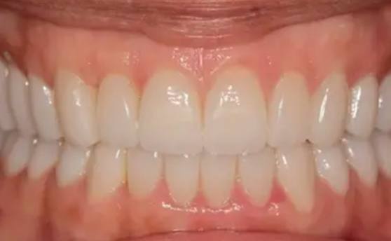
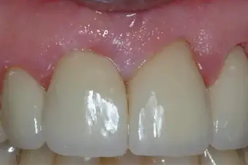
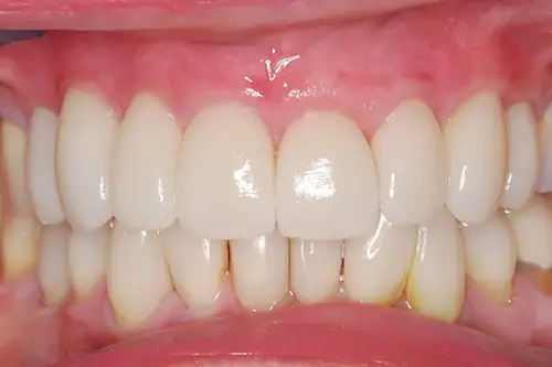
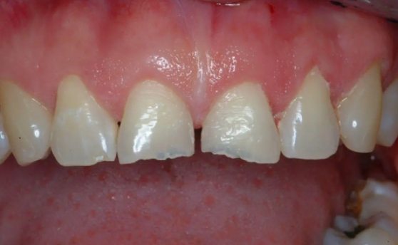
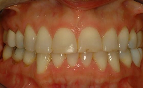
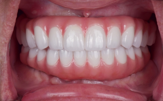
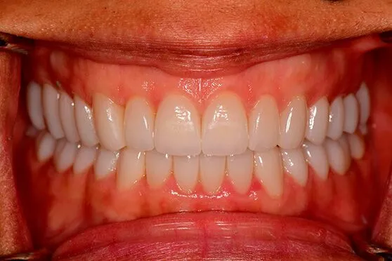
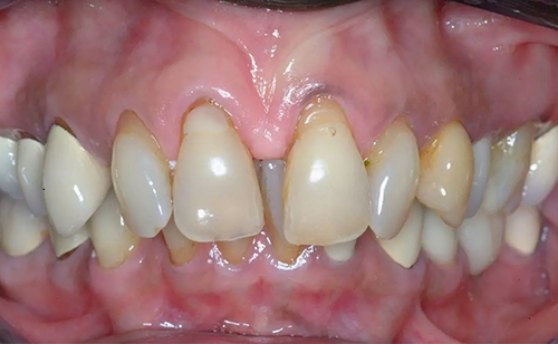
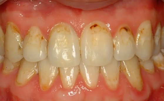
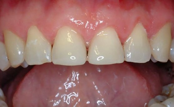
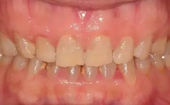
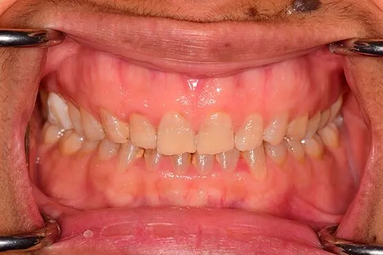
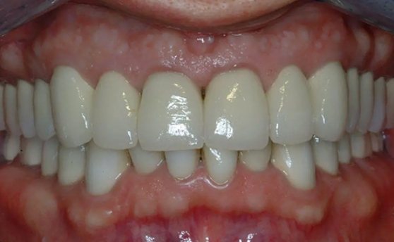
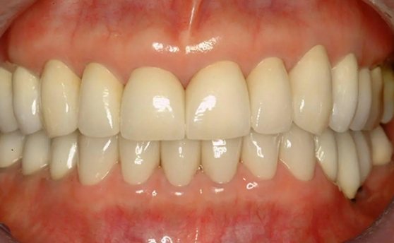
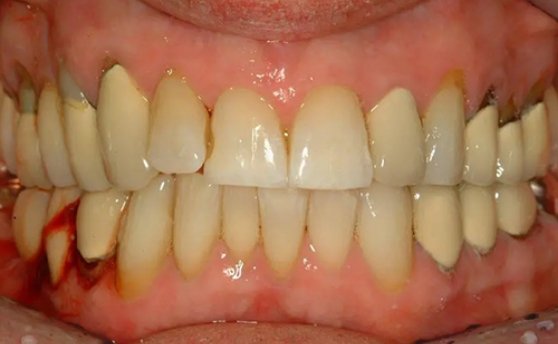
Dr. Lim has garnered a sterling reputation among patients and fellow dentists over the years, and his expertise and artistic eye can easily be seen in the real before and afters below. He is extremely proud to have so many patients recover their health and self-esteem thanks to his work, and if you’d like to experience the same level of results you see here on this page, then don’t hesitate to reach out to our team at the Center for Advanced Dentistry here in San Jose.
More to Explore
About Us Meet the Dentists Meet the Team In the News Dental Technology View Our Services
All-On-4®
Cosmetic Dentistry
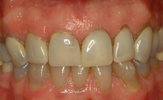
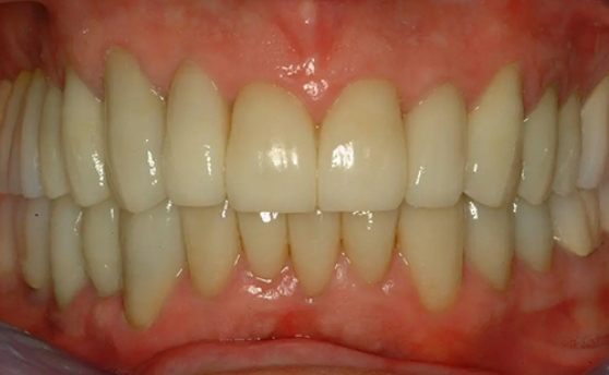
Before
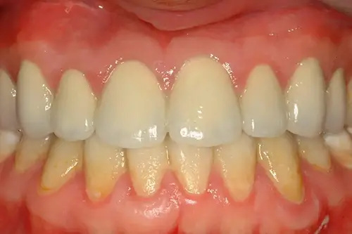
Before
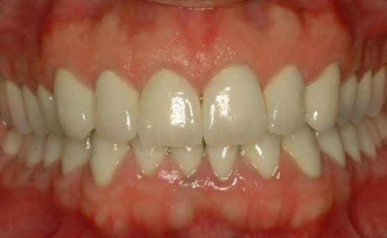
Before
Before
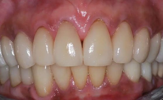
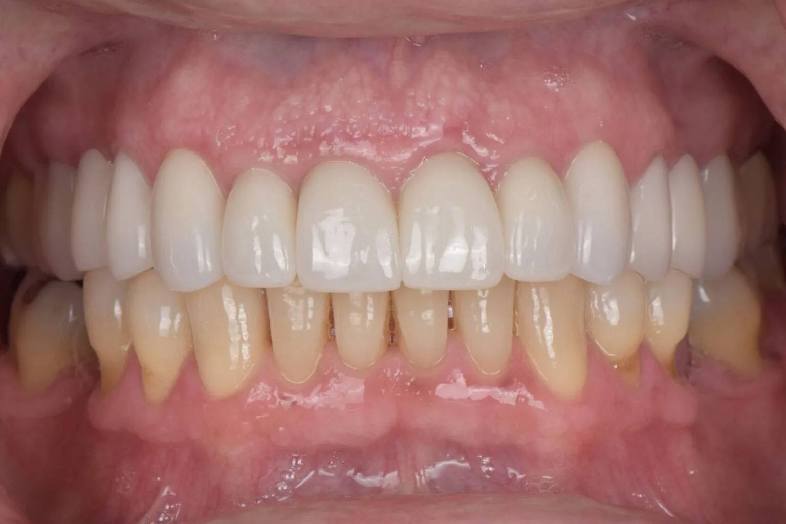
After
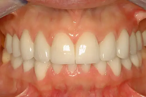
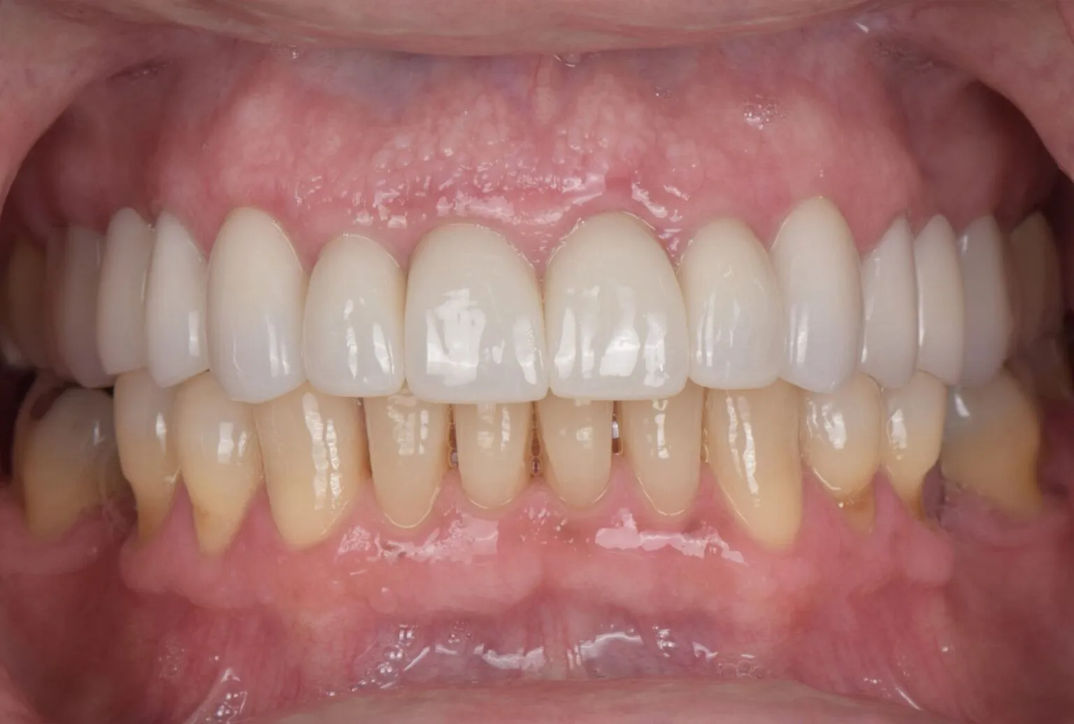
After
Full Mouth Rehabilitation
Dental Implants
My Smile Design
Veneers