Our office is strategically positioned in San Jose, CA, along North Bascom Avenue, offering easy connectivity to major transportation routes and centrally accessible from neighboring communities. The suite is housed within a professional complex with convenient parking options and straightforward building navigation for visitors.
Tooth Extractions San Jose
Removing Problematic Teeth to Restore Your Smile

Unfortunately, circumstances exist where one or more of your teeth need to be extracted. This is often the case with the wisdom teeth, or the third set of molars to emerge towards the back of the mouth. It also pertains to teeth that have become severely damaged or decayed and pose a threat to your oral wellness. Our team here at Center for Advanced Dentistry can walk you through the entire process of getting tooth extractions in San Jose to make it as easy and comfortable as possible.
Why Choose Center for Advanced Dentistry for Tooth Extractions?
- Led by a Certified Prosthodontist
- Friendly and Accommodating Dental Staff
- Multiple Types of Dental Sedation Available
Why Choose Center for Advanced Dentistry for Tooth Extractions?

Led by a Certified Prosthodontist
Dr. Steve Lim’s board-certified prosthodontist credentials provide specialized training far beyond general dentistry, including advanced surgical techniques for tooth extractions and comprehensive knowledge of tooth replacement options. His expertise ensures your extraction is performed with precision and care, minimizing trauma to surrounding bone and gum tissue to facilitate optimal healing. This advanced training also means Dr. Lim can discuss replacement options like dental implants during your consultation, creating a comprehensive treatment plan for your long-term oral health.
Friendly and Accommodating Dental Staff
Our compassionate team understands that tooth extractions can feel intimidating, and we prioritize creating a welcoming, supportive environment where you feel comfortable asking questions and expressing concerns. From your initial consultation through post-operative follow-up, our friendly staff provides clear communication, thorough explanations, and personalized attention to ensure you feel informed and at ease throughout the entire process. We take time to address your individual needs and make accommodations that enhance your comfort.
Multiple Types of Dental Sedation Available
We offer comprehensive sedation dentistry options including local anesthesia, nitrous oxide, oral conscious sedation, and IV sedation to ensure your complete comfort during tooth extraction procedures. Whether you experience dental anxiety or simply want enhanced relaxation during your procedure, we can customize your sedation approach based on the complexity of your extraction and your personal comfort preferences. Our sedation-certified team monitors you continuously to ensure safety while providing a stress-free experience.
When Are Tooth Extractions Necessary?

Dr. Lim will always take every possible step to help you retain your natural teeth, but if a tooth is beyond saving, he might recommend an extraction. Here are a few scenarios that might warrant this:
- The tooth has suffered irreparable damage or is decayed to the point of being untreatable with a filling or other type of restoration.
- The tooth has become loose and weakened due to advanced periodontal disease.
- The tooth is crowding the rest of the teeth and needs to be removed prior to orthodontic treatment.
Different Types of Tooth Extractions

Simple extractions involve teeth that are visible above the gum line and can be removed without surgical incisions or bone removal. These procedures typically require only local anesthesia and can be completed relatively quickly. The dentist loosens the tooth with specialized instruments called elevators, then uses forceps to carefully remove it from the socket. Simple extractions generally involve shorter recovery periods and minimal post-operative discomfort.
Surgical extractions become necessary when teeth haven’t erupted fully, have broken off at the gum line, have curved or multiple roots, or are impacted beneath bone and tissue. These more complex procedures require incisions in the gum tissue, possible bone removal, and sometimes sectioning the tooth into pieces for extraction. Surgical extractions typically involve longer procedure times and more extensive healing compared to simple extractions.
The distinction between simple and surgical extractions isn’t always clear-cut, as procedures may involve elements of both depending on specific circumstances. Dr. Lim evaluates each tooth individually using clinical examination and X-ray imaging to determine the most appropriate extraction technique. His surgical expertise ensures even complex extractions are performed efficiently with minimal trauma to surrounding structures.
Replacing Extracted Teeth for Long-Term Oral Health

When extracting teeth other than wisdom teeth, considering tooth replacement becomes important for maintaining long-term oral health, bite function, and facial structure. Missing teeth allow nearby teeth to shift position over time, potentially causing bite problems, jaw joint issues, and difficulty chewing. The surrounding bone also begins deteriorating without the stimulation provided by tooth roots, which can affect facial appearance and complicate future replacement options.
Dental implants represent the gold standard for tooth replacement, providing permanent solutions that look, feel, and function like natural teeth while preventing bone loss. The titanium implant post integrates with your jawbone, creating a stable foundation for a custom crown. Dr. Lim’s prosthodontic training makes him uniquely qualified to both extract your tooth and plan implant placement, potentially placing the implant during the same appointment in suitable cases.
Alternative replacement options include fixed dental bridges, which use adjacent teeth for support, or removable partial dentures for multiple missing teeth. During your extraction consultation, Dr. Lim discusses which replacement option best suits your specific situation, timeline, and budget. Planning for tooth replacement before extraction allows him to use techniques that preserve bone and tissue, optimizing conditions for your future restoration.
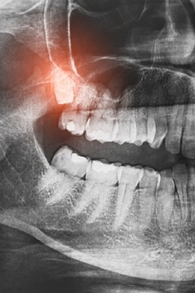
Wisdom Teeth Removal

Wisdom teeth, also called third molars, typically emerge during late adolescence or early adulthood, usually between ages 17 and 25. Many people develop four wisdom teeth, though some individuals have fewer or none at all, while others may have additional supernumerary molars. The number of wisdom teeth varies among individuals based on genetic factors. These final molars served an important purpose for our ancestors who consumed coarser diets requiring additional chewing power, but modern humans often lack adequate jaw space to accommodate them properly.
When wisdom teeth don’t have sufficient room to erupt normally, they become impacted wisdom teeth, remaining partially or fully trapped beneath the gum tissue or within the jawbone. Impacted tooth positions can vary, with teeth angled toward other teeth, angled backward, lying horizontally, or growing at various problematic angles. This impaction creates numerous potential complications, including severe pain, infection, damage to nearby tooth roots, cyst formation, and crowding of other teeth as the wisdom tooth attempts to emerge.
Even though wisdom teeth that successfully erupt can cause problems due to their location at the back of the mouth, where they’re difficult to clean properly with regular brushing and flossing. This increases the risk of tooth decay and gum disease affecting both the wisdom tooth and the adjacent molar. For these reasons, oral surgeons and oral and maxillofacial surgeons often recommend having wisdom teeth removed proactively, particularly in young adults whose bone is less dense and healing occurs more efficiently.
What to Expect During Your Tooth Extraction Procedure

Your tooth extraction begins with a thorough discussion of the procedure, anesthesia options, and post-operative care instructions so you know exactly what to expect. We’ll review your medical history, current medications, and any concerns you have about the procedure. X-rays help Dr. Lim plan the extraction approach and identify any anatomical considerations like nerve proximity, root configuration, or bone density that might influence the procedure.
Once you’re comfortable and anesthesia has taken effect, Dr. Lim proceeds with the extraction using techniques appropriate for your specific situation. Throughout the procedure, our team monitors your comfort and vital signs to ensure safety. The actual extraction time varies from just a few minutes for simple cases to 30-45 minutes for complex impacted wisdom teeth requiring extensive surgical access.
After your tooth is removed, Dr. Lim carefully examines the socket to ensure complete tooth removal and addresses any sharp bone edges that might irritate healing tissue. The area is irrigated to remove debris, and sutures may be placed to bring tissue together and promote healing. You’ll receive detailed post-operative instructions covering pain management, dietary restrictions, activity limitations, and signs of potential complications requiring immediate attention.
Post-Operative Care and Recovery After Tooth Removal

Proper post-operative care significantly influences your healing process and helps prevent complications like dry socket, infection, or excessive swelling. Immediately after your extraction, bite firmly on the gauze pad placed over the surgical site for 30-45 minutes to help a blood clot form in the tooth socket. This blood clot is essential for healing, acting as a protective layer while new tissue develops. Avoid disturbing the clot by not touching the area with your tongue, rinsing vigorously, or using straws.
Pain management typically involves prescribed or over-the-counter pain medications taken as directed, with medication most effective when taken before the local anesthesia wears off completely. Apply ice packs to your face near the extraction site in 20-minute intervals during the first 24 hours to minimize swelling. After 24 hours, switch to warm compresses if swelling persists. Most patients experience peak swelling 48-72 hours after surgery before gradual improvement.
Stick to soft foods and liquids for the first few days, gradually reintroducing solid foods as comfort allows. Avoid hot liquids, alcohol, and tobacco for at least 72 hours, as these can interfere with healing and increase complication risks. Maintain oral hygiene by gently brushing teeth away from the extraction site and using prescribed antimicrobial rinses as directed. Most patients return to normal activities within 3-7 days, though complete socket healing takes several weeks.
Potential Complications and Warning Signs

While tooth extractions are generally safe procedures with predictable outcomes, potential complications can occur. Dry socket, medically called alveolar osteitis, represents the most common complication, occurring when the protective blood clot dislodges or fails to form properly. This exposes the underlying bone and nerves, causing severe pain typically beginning 3-4 days after extraction. If you experience worsening pain accompanied by bad breath or unpleasant taste, contact our office immediately for treatment.
Infection at the surgical site can develop if bacteria enter the healing socket, though this is relatively uncommon when post-operative instructions are followed carefully. Signs of infection include increasing pain, swelling that worsens after the third day, fever, excessive warmth around the area, or pus drainage. Prompt antibiotic treatment typically resolves infections quickly, but early intervention provides the best outcomes.
Rarely, nerve injury can occur during the extraction of lower wisdom teeth positioned near nerves that provide sensation to the tongue, lower lip, and chin. While most nerve injuries heal spontaneously within weeks to months, some may result in prolonged or permanent altered sensation. Dr. Lim’s careful surgical technique and thorough pre-operative planning using 3D imaging minimize this already rare risk. Other potential complications include excessive bleeding, jaw stiffness, or damage to nearby teeth, though these occur infrequently with proper technique.
Oral Surgery and Wisdom Teeth Removal for Young Adults

Wisdom teeth removal in young adults, typically between ages 17-25, offers several advantages over waiting until problems develop later in life. Younger patients generally experience easier extractions because roots haven’t fully formed and the surrounding bone is less dense, allowing for simpler removal with less trauma. Healing occurs more rapidly and efficiently in younger individuals, with lower complication rates compared to older adults.
Proactive wisdom tooth extraction before problems develop prevents future emergency situations involving severe pain, swelling, or infection that require immediate attention. It also eliminates the risk of damage to nearby teeth, cyst formation around impacted teeth, or crowding that can undo previous orthodontic treatment. Many oral surgeons recommend evaluating wisdom teeth during late teenage years to determine if removal is advisable before complications arise.
Recovery from wisdom teeth extraction typically requires 3-7 days away from school or work, with most young adults returning to normal activities within a week. Planning the procedure during school breaks or periods with lighter schedules makes recovery more convenient. Having all wisdom teeth removed during a single appointment, when appropriate, reduces total recovery time compared to multiple separate procedures.
Tooth Extraction FAQs
How painful is tooth extraction and recovery?
Modern anesthesia techniques ensure you feel no pain during the extraction procedure itself. Post-operative discomfort varies by extraction complexity, with simple extractions causing minimal soreness and surgical extractions involving more significant discomfort for a few days. Prescribed pain medications effectively manage most post-extraction pain, with discomfort typically improving significantly within 3-4 days. Most patients report that the anticipation was worse than the actual experience.
How many wisdom teeth do people typically have removed?
Most people develop four wisdom teeth (one in each corner of the mouth), though some individuals have fewer naturally. When wisdom teeth require removal, oral surgeons often recommend extracting all present wisdom teeth during one procedure to avoid multiple surgeries and recovery periods. However, the decision depends on individual circumstances, with some cases warranting removal of only problematic teeth while monitoring others.
What is dry socket, and how can I prevent it?
Dry socket occurs when the protective blood clot in the tooth socket dislodges or fails to form, exposing bone and nerves and causing severe pain. Prevent dry socket by avoiding smoking, using straws, spitting forcefully, or rinsing vigorously for at least 72 hours after extraction. Follow all post-operative instructions carefully, maintain gentle oral hygiene, and avoid disturbing the surgical site with your tongue. Dry socket typically requires professional treatment with medicated dressings to relieve pain.
When can I return to normal activities after tooth extraction?
Most patients can return to light activities within 24-48 hours after simple extractions, though you should avoid strenuous exercise, heavy lifting, or activities that significantly elevate blood pressure for at least 3-5 days to prevent bleeding and swelling. For surgical extractions or wisdom teeth removal, plan for 3-7 days of modified activity. Complete healing of the extraction site takes several weeks, but most people resume normal routines much sooner.
Will I need tooth replacement after extraction?
Wisdom teeth don’t require replacement as they’re not essential for proper chewing or bite function. However, other extracted teeth should typically be replaced to prevent nearby teeth from shifting, maintain proper bite alignment, and preserve jawbone density. Dental implants, bridges, or partial dentures can effectively replace missing teeth. During your consultation, Dr. Lim will discuss whether replacement is recommended and help you choose the best option for your situation.